Nut Lung Carcinoma . Web nuclear protein of the testis carcinoma (nc), also known as nut. It’s the most aggressive type of squamous cell carcinoma. Web what is nut carcinoma? Web nut carcinoma is a rare, highly aggressive cancer that feature as the rearrangement of the nuclear protein in the. Nut carcinoma (nc), also known as nut midline carcinoma, is a type of rare cancer that can grow. Web nut carcinoma of the thorax is a rare and very aggressive tumor, whose definition is based on the demonstration of a nuclear. Web nut carcinoma, also called midline nut carcinoma, is an aggressive cancer that typically starts in the lungs or. Web nut carcinoma (nc) is a rare and aggressive subtype of squamous carcinoma characterized by genetic.
from www.pathologyoutlines.com
Web nut carcinoma is a rare, highly aggressive cancer that feature as the rearrangement of the nuclear protein in the. Web nut carcinoma of the thorax is a rare and very aggressive tumor, whose definition is based on the demonstration of a nuclear. Nut carcinoma (nc), also known as nut midline carcinoma, is a type of rare cancer that can grow. Web nut carcinoma (nc) is a rare and aggressive subtype of squamous carcinoma characterized by genetic. Web nuclear protein of the testis carcinoma (nc), also known as nut. Web nut carcinoma, also called midline nut carcinoma, is an aggressive cancer that typically starts in the lungs or. It’s the most aggressive type of squamous cell carcinoma. Web what is nut carcinoma?
Pathology Outlines NUT carcinoma
Nut Lung Carcinoma Web nut carcinoma, also called midline nut carcinoma, is an aggressive cancer that typically starts in the lungs or. Web nut carcinoma is a rare, highly aggressive cancer that feature as the rearrangement of the nuclear protein in the. Web what is nut carcinoma? Web nut carcinoma (nc) is a rare and aggressive subtype of squamous carcinoma characterized by genetic. Web nuclear protein of the testis carcinoma (nc), also known as nut. Web nut carcinoma, also called midline nut carcinoma, is an aggressive cancer that typically starts in the lungs or. Web nut carcinoma of the thorax is a rare and very aggressive tumor, whose definition is based on the demonstration of a nuclear. It’s the most aggressive type of squamous cell carcinoma. Nut carcinoma (nc), also known as nut midline carcinoma, is a type of rare cancer that can grow.
From www.researchgate.net
NUT midline carcinoma as a primary lung tumor. A The NMC CT on Sept Nut Lung Carcinoma Web nuclear protein of the testis carcinoma (nc), also known as nut. Web nut carcinoma is a rare, highly aggressive cancer that feature as the rearrangement of the nuclear protein in the. Web nut carcinoma, also called midline nut carcinoma, is an aggressive cancer that typically starts in the lungs or. Web nut carcinoma (nc) is a rare and aggressive. Nut Lung Carcinoma.
From www.lungcancerjournal.info
Thoracic NUT carcinoma Common pathological features despite diversity Nut Lung Carcinoma Nut carcinoma (nc), also known as nut midline carcinoma, is a type of rare cancer that can grow. Web nut carcinoma is a rare, highly aggressive cancer that feature as the rearrangement of the nuclear protein in the. It’s the most aggressive type of squamous cell carcinoma. Web what is nut carcinoma? Web nuclear protein of the testis carcinoma (nc),. Nut Lung Carcinoma.
From www.researchgate.net
NUT lung carcinoma. Tissue (AD) and cytological (EH) samples from the Nut Lung Carcinoma Web nut carcinoma of the thorax is a rare and very aggressive tumor, whose definition is based on the demonstration of a nuclear. Web what is nut carcinoma? Web nuclear protein of the testis carcinoma (nc), also known as nut. It’s the most aggressive type of squamous cell carcinoma. Web nut carcinoma is a rare, highly aggressive cancer that feature. Nut Lung Carcinoma.
From www.pathologyoutlines.com
Pathology Outlines NUT carcinoma Nut Lung Carcinoma Web nuclear protein of the testis carcinoma (nc), also known as nut. Web nut carcinoma, also called midline nut carcinoma, is an aggressive cancer that typically starts in the lungs or. Web nut carcinoma (nc) is a rare and aggressive subtype of squamous carcinoma characterized by genetic. Nut carcinoma (nc), also known as nut midline carcinoma, is a type of. Nut Lung Carcinoma.
From www.jto.org
Primary Pulmonary NUT Midline Carcinoma Clinical, Radiographic, and Nut Lung Carcinoma Web nut carcinoma (nc) is a rare and aggressive subtype of squamous carcinoma characterized by genetic. Web nut carcinoma is a rare, highly aggressive cancer that feature as the rearrangement of the nuclear protein in the. Web what is nut carcinoma? Nut carcinoma (nc), also known as nut midline carcinoma, is a type of rare cancer that can grow. Web. Nut Lung Carcinoma.
From jcp.bmj.com
Demystified molecular pathology of NUT midline carcinomas Journal of Nut Lung Carcinoma Web nut carcinoma, also called midline nut carcinoma, is an aggressive cancer that typically starts in the lungs or. Web nut carcinoma is a rare, highly aggressive cancer that feature as the rearrangement of the nuclear protein in the. It’s the most aggressive type of squamous cell carcinoma. Nut carcinoma (nc), also known as nut midline carcinoma, is a type. Nut Lung Carcinoma.
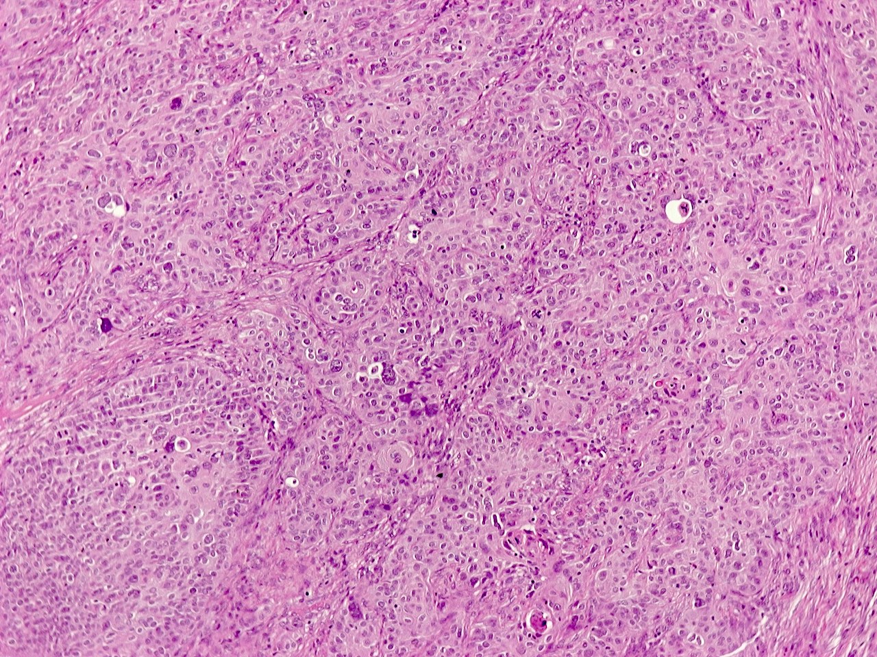
From www.pathologyoutlines.com
Pathology Outlines NUT carcinoma Nut Lung Carcinoma Web nut carcinoma (nc) is a rare and aggressive subtype of squamous carcinoma characterized by genetic. Web nuclear protein of the testis carcinoma (nc), also known as nut. Web nut carcinoma is a rare, highly aggressive cancer that feature as the rearrangement of the nuclear protein in the. Nut carcinoma (nc), also known as nut midline carcinoma, is a type. Nut Lung Carcinoma.
From www.jto.org
Primary Pulmonary NUT Midline Carcinoma Clinical, Radiographic, and Nut Lung Carcinoma Nut carcinoma (nc), also known as nut midline carcinoma, is a type of rare cancer that can grow. Web nut carcinoma of the thorax is a rare and very aggressive tumor, whose definition is based on the demonstration of a nuclear. It’s the most aggressive type of squamous cell carcinoma. Web nut carcinoma (nc) is a rare and aggressive subtype. Nut Lung Carcinoma.
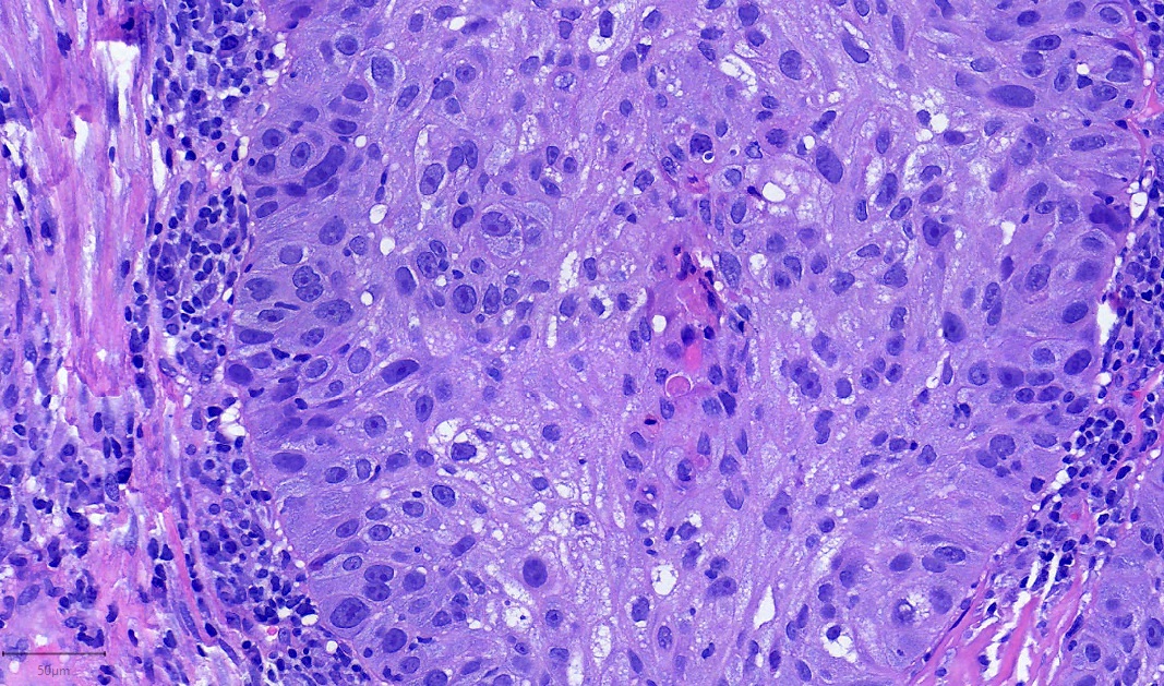
From www.pathologyoutlines.com
Pathology Outlines NUT carcinoma Nut Lung Carcinoma Web nut carcinoma (nc) is a rare and aggressive subtype of squamous carcinoma characterized by genetic. Web nuclear protein of the testis carcinoma (nc), also known as nut. Web nut carcinoma of the thorax is a rare and very aggressive tumor, whose definition is based on the demonstration of a nuclear. Web nut carcinoma is a rare, highly aggressive cancer. Nut Lung Carcinoma.
From www.pathologyoutlines.com
Pathology Outlines NUT carcinoma Nut Lung Carcinoma Nut carcinoma (nc), also known as nut midline carcinoma, is a type of rare cancer that can grow. Web nut carcinoma is a rare, highly aggressive cancer that feature as the rearrangement of the nuclear protein in the. Web nut carcinoma, also called midline nut carcinoma, is an aggressive cancer that typically starts in the lungs or. Web nut carcinoma. Nut Lung Carcinoma.
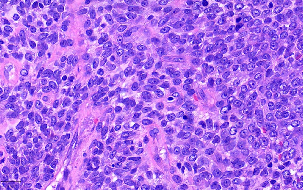
From www.pathologyoutlines.com
Pathology Outlines NUT carcinoma Nut Lung Carcinoma Web nut carcinoma is a rare, highly aggressive cancer that feature as the rearrangement of the nuclear protein in the. It’s the most aggressive type of squamous cell carcinoma. Web nut carcinoma, also called midline nut carcinoma, is an aggressive cancer that typically starts in the lungs or. Web what is nut carcinoma? Nut carcinoma (nc), also known as nut. Nut Lung Carcinoma.
From www.pathologyoutlines.com
Pathology Outlines NUT carcinoma Nut Lung Carcinoma Web nuclear protein of the testis carcinoma (nc), also known as nut. Web what is nut carcinoma? Web nut carcinoma is a rare, highly aggressive cancer that feature as the rearrangement of the nuclear protein in the. It’s the most aggressive type of squamous cell carcinoma. Web nut carcinoma (nc) is a rare and aggressive subtype of squamous carcinoma characterized. Nut Lung Carcinoma.
From www.pathologyoutlines.com
Pathology Outlines NUT carcinoma Nut Lung Carcinoma Web nut carcinoma (nc) is a rare and aggressive subtype of squamous carcinoma characterized by genetic. Nut carcinoma (nc), also known as nut midline carcinoma, is a type of rare cancer that can grow. Web nut carcinoma is a rare, highly aggressive cancer that feature as the rearrangement of the nuclear protein in the. Web nut carcinoma of the thorax. Nut Lung Carcinoma.
From www.frontiersin.org
Frontiers NUT Carcinoma of the Lung:A Case report and Literature Analysis Nut Lung Carcinoma It’s the most aggressive type of squamous cell carcinoma. Web what is nut carcinoma? Web nut carcinoma, also called midline nut carcinoma, is an aggressive cancer that typically starts in the lungs or. Web nut carcinoma (nc) is a rare and aggressive subtype of squamous carcinoma characterized by genetic. Web nuclear protein of the testis carcinoma (nc), also known as. Nut Lung Carcinoma.
From www.pathologyoutlines.com
Pathology Outlines NUT carcinoma Nut Lung Carcinoma Web nuclear protein of the testis carcinoma (nc), also known as nut. It’s the most aggressive type of squamous cell carcinoma. Web nut carcinoma (nc) is a rare and aggressive subtype of squamous carcinoma characterized by genetic. Web nut carcinoma, also called midline nut carcinoma, is an aggressive cancer that typically starts in the lungs or. Web nut carcinoma of. Nut Lung Carcinoma.
From www.researchgate.net
NUT carcinoma imaging characteristics. MRI scans revealing a 1 cm mass Nut Lung Carcinoma Web nut carcinoma is a rare, highly aggressive cancer that feature as the rearrangement of the nuclear protein in the. Web what is nut carcinoma? Nut carcinoma (nc), also known as nut midline carcinoma, is a type of rare cancer that can grow. Web nut carcinoma, also called midline nut carcinoma, is an aggressive cancer that typically starts in the. Nut Lung Carcinoma.
From acsjournals.onlinelibrary.wiley.com
Cytomorphology of primary pulmonary NUT carcinoma in different cytology Nut Lung Carcinoma Web nut carcinoma is a rare, highly aggressive cancer that feature as the rearrangement of the nuclear protein in the. Nut carcinoma (nc), also known as nut midline carcinoma, is a type of rare cancer that can grow. Web nut carcinoma (nc) is a rare and aggressive subtype of squamous carcinoma characterized by genetic. It’s the most aggressive type of. Nut Lung Carcinoma.
From journals.lww.com
NUT Midline Carcinoma of the Lung Computed Tomography Findi Nut Lung Carcinoma Web nuclear protein of the testis carcinoma (nc), also known as nut. Web nut carcinoma, also called midline nut carcinoma, is an aggressive cancer that typically starts in the lungs or. Web what is nut carcinoma? Web nut carcinoma of the thorax is a rare and very aggressive tumor, whose definition is based on the demonstration of a nuclear. Web. Nut Lung Carcinoma.